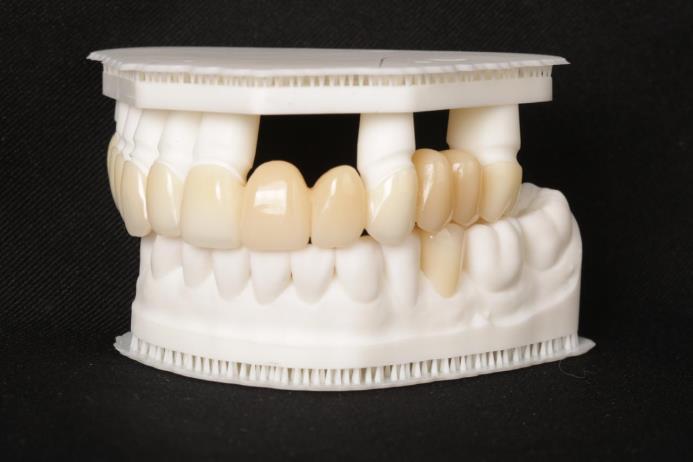
Coronas y Prótesis fijas
Las coronas y las prótesis fijas, como los puentes, son restauraciones dentales que cubren el diente afectado en su totalidad y se cementan de manera permanente sobre el. Este tratamiento no solo proporciona mayor resistencia a los dientes dañados, sino que también mejora su estética, considerando factores como el color, la forma y la función del diente natural.
Cuando no es posible utilizar un diente natural como base para estas restauraciones, se recurre a la colocación de implantes dentales unitarios y coronas dentales. Las coronas atornilladas a los implantes imitan perfectamente las características de los dientes naturales, desempeñando sus funciones de manera óptima.
Existen diversos materiales para la fabricación de las coronas dentales. Las coronas provisionales se realizan generalmente en acrílico o PMMA, mientras que las coronas definitivas se elaboran en cerámica; algunos tipos conocidos son la Zirconia y el disilicato de litio, lo que permite obtener un resultado estéticamente más natural y con una mayor resistencia.

Procedimiento para la Colocación de una Corona Dental
El procedimiento de colocación de una corona dental se lleva a cabo generalmente en dos fases. En la primera consulta, se anestesia el diente afectado para garantizar una mayor comodidad en el procedimiento, acá se elimina la parte afectada del diente y si se requiere se realizan reconstrucciones de la zona removida, posteriormente se toma una impresión utilizando un scanner intraoral y esta impresión será utilizada por un laboratorio especializado para crear una restauración personalizada.

Durante el proceso de fabricación de la nueva corona, se colocará una restauración temporal que cubrirá el diente tratado, permitiendo mantener su función normal y una apariencia estética natural.
Dentro de los (1-2) días siguientes, deberás regresar para una cita de seguimiento, en la cual se ajustará y cementará la corona definitiva. Durante este procedimiento, el dentista realizará los ajustes necesarios para asegurarse de que la corona se ajuste cómodamente en boca.
Al finalizar el tratamiento se darán las recomendaciones de higiene oral y mantenimiento, para garantizar su durabilidad y funcionamiento óptimo. Es importante recordar que todos los tratamiento si bien alcanzan grandes resultados en términos estéticos y funcionales no vuelven a ser los dientes naturales con lo que nacimos y eventualmente pueden existir fallas y recambios.
¡Te Esperamos!
Estamos aquí para ayudarte a lograr la sonrisa que siempre has querido
Si buscas una clínica dental con una larga trayectoria, atención personalizada y un enfoque integral para tu salud oral, Belinno es el lugar ideal para ti. Te invitamos a visitarnos y experimentar de primera mano el compromiso y la dedicación que ponemos en cada aspecto de nuestro servicio.