Carillas Dentales
Es uno de los tratamientos dentales más frecuentes en el área de odontología estética. Esto se debe a su versatilidad para resolver algunos problemas funcionales y mejorar estéticamente la sonrisa.
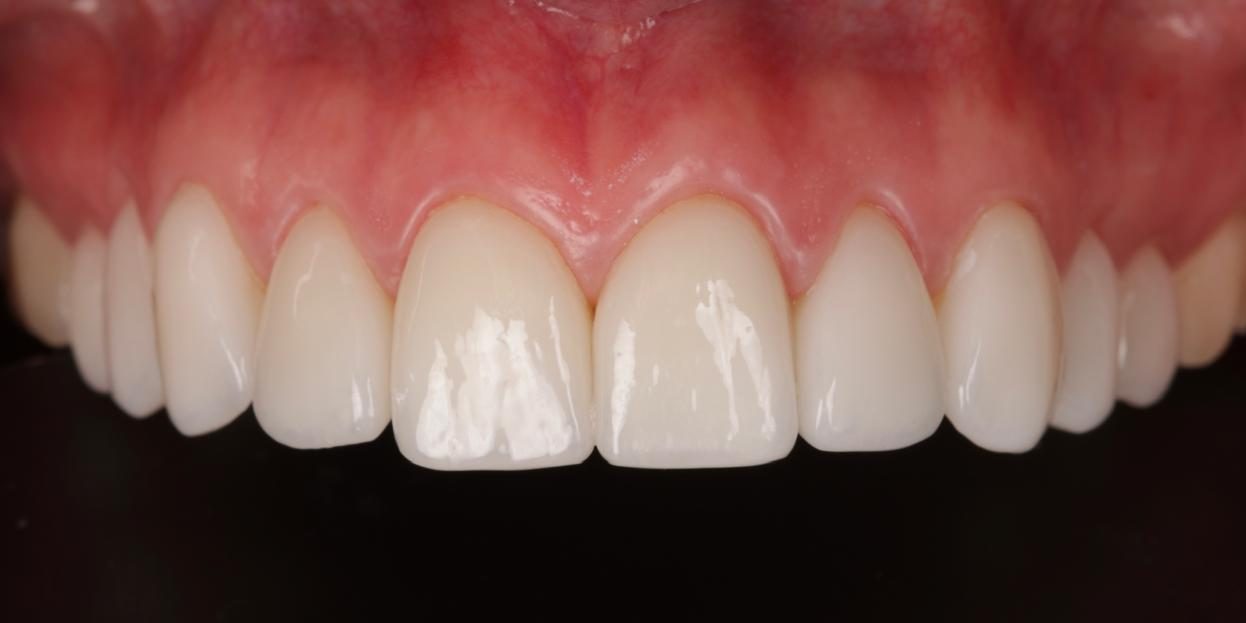
Las carillas dentales son finas láminas de pocos milímetros de porcelana o resina por lo que también se les conoce como lentes de contacto y estos se adhieren sobre sobre los dientes con cementos específicos para este procedimiento, conservando su estructura y funcionalidad. De esta forma, permiten corregir tonalidades, formas, ligeros desalineamientos o diastemas, con resultados muy naturales.
Pueden ser de cerámica o de resina compuesta siendo las primeras más resistentes y estables con el color a largo plazo. El procedimiento clínico tiene un enfoque mínimamente invasivo, que permite la corrección de la cara vestibular (frontal) o en ocasiones oclusal de la estructura dental.



Una sonrisa personalizada
Cada caso es único y por esta razón es necesaria la personalización y el diseño exclusivo para cada paciente basado en las expectativas y buscando siempre una adaptación perfecta donde predomine la funcionalidad y la estética.
Dadas sus características, las carillas mimetizan el esmalte natural de los dientes, y se integran de tal manera que crean una sonrisa altamente natural y resistente.
Un procedimiento mínimamente invasivo
Frente al desgaste de los dientes existen muchos temores y desinformación alrededor de la técnica; actualmente gracias a la evolución de los materiales utilizados, no siempre es necesario desgastar los dientes para la colocación de carillas dentales y se pueden realizar desgastes conservadores delimitados al esmalte, sin embargo esto varía según el posicionamiento de los dientes y si hay suficiente espacio para la colocación de las carillas; razón por la cual es importante recordar que muchos casos donde se evidencie una alteración muy marcada en la posición de los dientes (apiñamientos y diastemas); el tratamiento de ortodoncia será la opción más recomendada.
Paso a paso de la
colocación de carillas dentales


Consulta de Diagnóstico
Se realiza una evaluación clínica integral que consta de un protocolo fotográfico, radiografía panorámica y escaneo digital intraoral. Acá es muy importante poder tener una conversación con el paciente frente a las expectativas del antes y después y entender los alcances funcionales y estéticos del caso.

Diseño de Sonrisa Digital
En Belinno usamos uno de los mejores softwares de planeación reconocidos globalmente. Smilecloud es una herramienta de simulación digital con una librería muy amplia de formas de dientes que permiten planificar el caso. A partir de este estudio digital, se elabora una maqueta o modelo 3D que posteriormente se imprime para realizar las futuras pruebas.

Mock-up (prueba de la sonrisa)
Esta es una simulación del resultado final, con materiales temporales cuyo objetivo es hacer una prueba en la boca del paciente, sin intervención dental, para que el paciente y si es necesario sus acompañantes; visualicen y aprueben el diseño antes de realizar etapas finales.

Preparación dental
Aunque es mínimamente invasivo, puede ser necesario un ligero desgaste en la superficie externa de los dientes para eliminar cualquier retención. Luego se procede a la impresión digital y/o convencional para la fabricación de las carillas.

Adhesión/cementación de las carillas
Siguiendo un protocolo riguroso se deben realizar algunos tratamientos específicos sobre los materiales cerámicos y sobre los dientes para mejorar la adhesión y poder utilizar los adhesivos y cementos indicados para este tipo de procedimientos.

Placa de protección
Se toma una impresión final para elaborar una placa de protección, debe ser de uso diario en la noche.
Recomendaciones de control
El éxito de los tratamientos dentales también depende del comportamiento del paciente por esta razón es importante seguir algunas recomendaciones:
Usar una férula de protección nocturna que siempre se entrega como parte del tratamiento.
Evitar morder con los dientes anteriores, especialmente alimentos duros y de preferencia corte todos los alimentos con tenedor y cuchillo.
Realizar el cepillado con cepillos suaves y uso de seda dental mínimo dos veces al día y evitar cualquier uso de pastas abrasivas que deterioren la cerámica.
Las carillas funcionan como dientes normales y pueden romperse si hay excesos, como morderse las uñas, morder lápices, objetos, destapar paquetes, etc.
¡Te Esperamos!
Estamos aquí para ayudarte a lograr la sonrisa que siempre has querido
Si buscas una clínica dental con una larga trayectoria, atención personalizada y un enfoque integral para tu salud oral, Belinno es el lugar ideal para ti. Te invitamos a visitarnos y experimentar de primera mano el compromiso y la dedicación que ponemos en cada aspecto de nuestro servicio.