Arco Completo con Implantes Dentales
Full Arch (All on four / All on six)
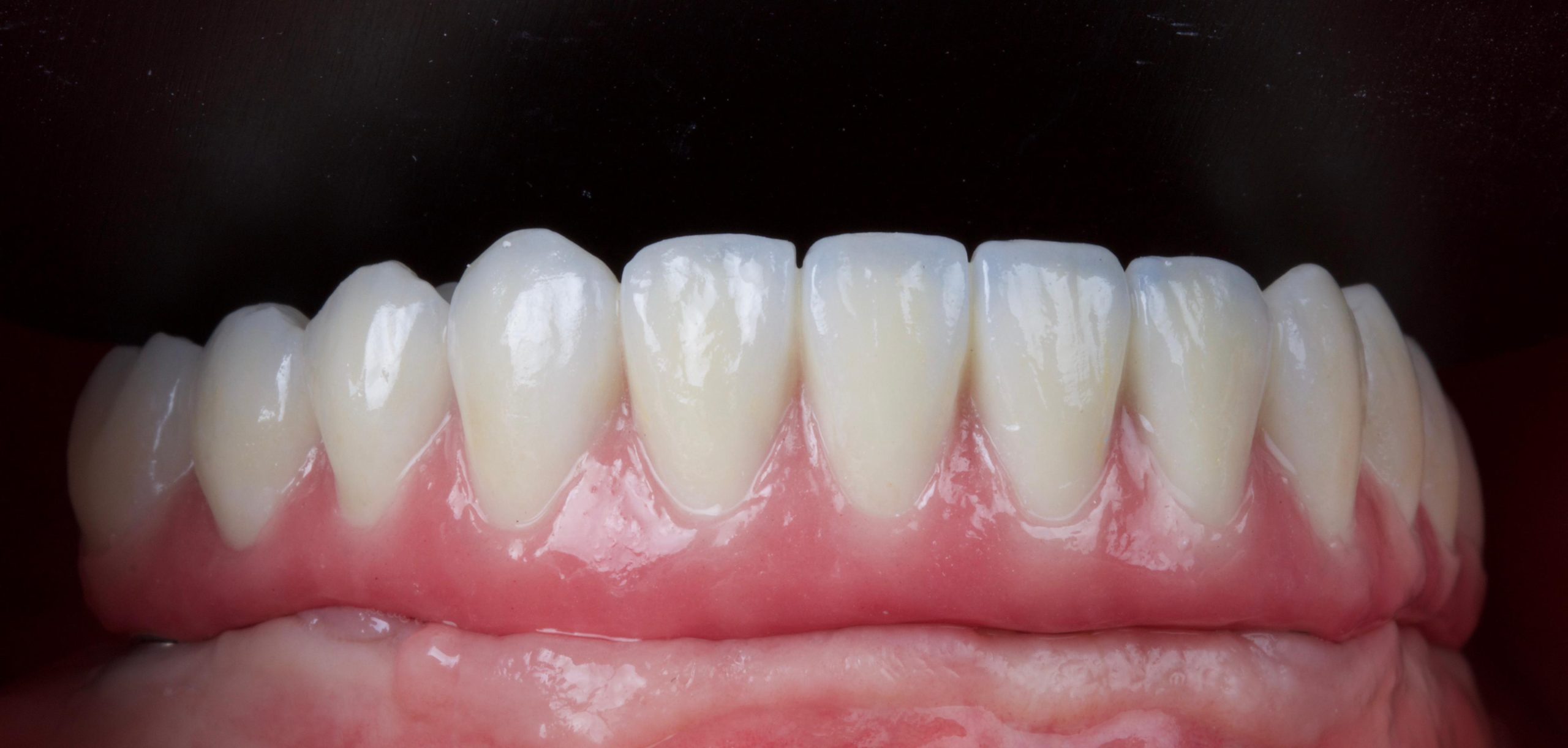
All-on-Four o All – on – Six es un tratamiento dental diseñado para reemplazar un arco completo de dientes utilizando solo cuatro implantes o seis implantes, dependiendo de los objetivos restaurativos. Esta técnica es ideal para personas que han perdido la mayoría o todos sus dientes y buscan una solución fija y permanente, en lugar de usar dentaduras removibles.

¿Cuáles son los beneficios?
La técnica de arco completo con implantes es una opción eficaz para aquellos que buscan una solución duradera y funcional.
Menos implantes
Solo se requieren cuatro o seis implantes, lo que favorece que con pocos implantes se logra una adecuada distribución biomecánica para lograr una restauración funcional en un arco completo.
Fijación segura
La prótesis se fija de manera estable, mejorando la función y la estética; no hay necesidad de retirar diariamente la prótesis.
Menos invasivo
Generalmente este tipo de tratamientos requieren menos intervenciones quirúrgicas ya que esta técnica puede emplear la colocación de implantes angulados para evitar la necesidad de realizar injertos óseos.
Recuperación rápida
Muchos pacientes pueden volver a comer y hablar con confianza en poco tiempo y se busca realizar una carga inmediata con una prótesis temporal dentro de las 24 a las 48 horas posterior a la colocación de los implantes.
¿Quién es un candidato
para All-on-X?
Un candidato ideal para la técnica de arco completo con implantes dentales es para quienes perdido la mayoría o la totalidad de sus dientes y buscan una solución estable a largo plazo. Por lo general, tiene una densidad ósea suficiente para soportar los implantes, o puede ser capaz de someterse a un injerto óseo si es necesario. Los candidatos generalmente están en buena salud general, sin condiciones crónicas descontroladas como diabetes o trastornos autoinmunes que puedan retrasar los procesos de cicatrización. Los no fumadores, o aquellos dispuestos a dejar de fumar, tienden a tener resultados más exitosos.

¿Cómo se planifica y realiza la técnica All on Four?
En la primera etapa nuestro equipo de Implantología diagnosticará y valorará mediante imágenes 3D (tomografías) y modelos digitales; si se es candidato para la colocación de los implantes. Si la respuesta es sí, se planificará digitalmente su posición y diseño protésico; para minimizar el margen de error en la cirugía y crear un plan de tratamiento perfecto para cada paciente.
Dependerá del volumen, altura de hueso disponible y estado general de salud del paciente
Posteriormente se tomarán las medidas para realizar una prótesis provisional, que será utilizada para cargar los implantes colocados en la cirugía de arco completo. Esta prótesis provisional se usará durante al menos 3 o 4 meses hasta que los implantes dentales estén correctamente cicatrizados y se pueda continuar con la fase de la prótesis híbrida definitiva.
Finalmente, el mantenimiento es una de las fases más importantes de todo el tratamiento, que se lleva a cabo mediante cuidados diarios y consultas regulares de higiene oral. La duración y calidad de todo el tratamiento realizado va de la mano con las consultas de control y mantenimiento.



¡Te Esperamos!
Estamos aquí para ayudarte a lograr la sonrisa que siempre has querido
Si buscas una clínica dental con una larga trayectoria, atención personalizada y un enfoque integral para tu salud oral, Belinno es el lugar ideal para ti. Te invitamos a visitarnos y experimentar de primera mano el compromiso y la dedicación que ponemos en cada aspecto de nuestro servicio.